DOLOR BARCELONA
Bloquetjos sota control Radiològic
QUÉ SÓN ELS BLOQUETJOS?
La possibilitat de controlar el dolor mitjançant l'aplicació d'un anestèsic local o un antiinflamatori fa del bloqueig nerviós una alternativa en pacients seleccionats.
A causa de la variabilitat en la resposta, la diferència en el mètode dels clínics i les possibilitats d'accés al tractament, aquest és un mètode amb una gran variabilitat en els resultats i en les publicacions. Tot i així, és evident que entre un 50% i un 80% dels pacients es poden beneficiar en ser tractats amb bloqueig.
Per a què s’utilitza el Bloqueig Perifèric Guiat?
DIAGNÒSTIC
Determina l'origen del dolor (p. ex. somàtic vs. simpàtic, nerviós) o identifica la zona afectada pel dolor.
TERAPÈUTIC
Tracta la zona afectada que respon al bloqueig nerviós, aconseguint la desaparició del dolor.
PRONÒSTIC
Permet predir el resultat d'intervencions permanents com infusions, neuròlisi o radiofreqüència.
La infiltració de l'articulació sacroilíaca està indicada en el tractament del dolor sacroilíac primari o secundari per sobrecàrrega de l'articulació.

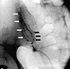
El punt negre visualitza el target on practicar la infiltració. La interlínia assenyalada es refereix a la part posterior de l'articulació.

S'observa l'agulla a l'entrada de l'articulació sacroilíaca. En blanc, s'assenyala el marge lateral de la part anterior de l'articulació. Les fletxes negres posen de manifest el marge medial de la part posterior de l'articulació després d'injectar el contrast.



L'articulació coxofemoral també es pot infiltrar, ja sigui amb àcid hialurònic o amb corticoides.

La infiltració del múscul piramidal és una patologia freqüent pel que fa al dolor de la natja irradiat cap a l'extremitat inferior.








